Размер шрифта:
A
A
A
Цветовая схема:
A
A
A
Сбросить все параметры
М
Площадь Ленина, ул. Военная, 9/2
М
Площадь Маркса, ул. Новогодняя, 12/1
М
Заельцовская, ул. Дачная, 42
М
Октябрьская, ул. Ленинградская, 106
Версия для слабовидящих
В наших креслах можно
не пристегиваться!
Запись на приём
+7 (383) 209-00-90
с 8:00-14:00/15:00-21:00
без выходных
Врачи
Врачи по клиникам
Клиника на Военной, д. 9/2
Клиника на Новогодней, д. 12/1
Клиника на Дачной, д. 42
Клиника на Ленинградской, д. 106
Врачи по направлениям
Все
Лечение зубов
Протезирование зубов
Имплантация зубов
Гигиена и профилактика
Пародонтология
Исправление прикуса
Рентгенология
Отбеливание
Детская стоматология
Анестезиология
Удаление зубов
Цены
Цены на услуги
Лечение по страховке
Стоматология в рассрочку
Услуги
Лечение
Лечение кариеса
Лечение пульпита
Лечение под микроскопом
Лечение зубов во сне
Эстетическая реставрация зубов
Реставрация передних зубов
Спасение "безнадежных" зубов
Наращивание зубов
Хирургическая стоматология
Удаление зубов
Удаление под наркозом
Удаление зубов мудрости
Удаление кисты зуба
Удаление корня зуба
Апикальная хирургия
Диагностика
3D-томография зубов
Визиография
Отбеливание
Отбеливание системой Zoom 4
Протезирование
Виниры
Коронки
Металлокерамические коронки
Цельнокерамические коронки E.max
Циркониевые коронки
Мостовидные протезы
Съемные бюгельные протезы
Керамические вкладки
Протезирование передних зубов
Имплантация
Имплантация All-on-4
Имплантация зубов
Имплантация во сне
Одномоментная имплантация
Костная пластика
Системы имплантации
Гигиена и профилактика
Фторирование
Профессиональная чистка зубов
Пародонтология
Диагностика
Хирургическая пародонтология
Консервативная пародонтология
Пластическая пародонтология
Ортодонтия
Брекеты
Элайнеры
Ретейнеры
Ортодонтическая подготовка
Ортодонтические имплантаты
Гнатологическая ортодонтия
Лечение иногородних пациентов
Личный координатор
Cтоматология во сне
Skydent Kids
Первый визит в SKYDENT KIDS
Адаптация детей в SKYDENT KIDS
Рентген детских зубов
Обезболивание
Лечение кариеса
Лечение пульпита
Удаление молочных зубов
Седация и лечение детей под наркозом
Коррекция уздечки языка и губы лазером
Детская и подростковая чистка
Лечение подростков
Уроки гигиены
Детская ортодонтия
Спасение детских зубов после травмы
Скидки и акции
О клинике
Почему в наших креслах не пристегиваются?
Новости
Статьи
Фотогалерея
Партнеры
Обучение наших специалистов
Отзывы
Официальная информация
Высокие технологии
Лаборатория с полным циклом
Доверенность на ребенка
Безопасность
3D-тур
Карьера
Контакты
Выберите филиал
Правый берег:
М
Площадь Ленина.
Адрес: Военная 9/2
Правый берег:
М
Заельцовская.
Адрес: Дачная, 42
Левый берег:
М
Площадь Маркса.
Адрес: Новогодняя 12/1
Правый берег:
М
Октябрьская.
Адрес: Ленинградская, 106
Запись на приём
Врачи
Назад
Врачи
Врачи по клиникам
Назад
Врачи по клиникам
Клиника на Военной, д. 9/2
Клиника на Новогодней, д. 12/1
Клиника на Дачной, д. 42
Клиника на Ленинградской, д. 106
Врачи по направлениям
Назад
Врачи по направлениям
Все
Лечение зубов
Протезирование зубов
Имплантация зубов
Гигиена и профилактика
Пародонтология
Исправление прикуса
Рентгенология
Отбеливание
Детская стоматология
Анестезиология
Удаление зубов
Цены
Назад
Цены
Цены на услуги
Лечение по страховке
Стоматология в рассрочку
Услуги
Назад
Услуги
Лечение
Назад
Лечение
Лечение кариеса
Лечение пульпита
Лечение под микроскопом
Лечение зубов во сне
Эстетическая реставрация зубов
Реставрация передних зубов
Спасение "безнадежных" зубов
Наращивание зубов
Хирургическая стоматология
Назад
Хирургическая стоматология
Удаление зубов
Удаление под наркозом
Удаление зубов мудрости
Удаление кисты зуба
Удаление корня зуба
Апикальная хирургия
Диагностика
Назад
Диагностика
3D-томография зубов
Визиография
Отбеливание
Назад
Отбеливание
Отбеливание системой Zoom 4
Протезирование
Назад
Протезирование
Виниры
Коронки
Металлокерамические коронки
Цельнокерамические коронки E.max
Циркониевые коронки
Мостовидные протезы
Съемные бюгельные протезы
Керамические вкладки
Протезирование передних зубов
Имплантация
Назад
Имплантация
Имплантация All-on-4
Имплантация зубов
Имплантация во сне
Одномоментная имплантация
Костная пластика
Системы имплантации
Гигиена и профилактика
Назад
Гигиена и профилактика
Фторирование
Профессиональная чистка зубов
Пародонтология
Назад
Пародонтология
Диагностика
Хирургическая пародонтология
Консервативная пародонтология
Пластическая пародонтология
Ортодонтия
Назад
Ортодонтия
Брекеты
Элайнеры
Ретейнеры
Ортодонтическая подготовка
Ортодонтические имплантаты
Гнатологическая ортодонтия
Лечение иногородних пациентов
Личный координатор
Cтоматология во сне
Skydent Kids
Назад
Skydent Kids
Первый визит в SKYDENT KIDS
Адаптация детей в SKYDENT KIDS
Рентген детских зубов
Обезболивание
Лечение кариеса
Лечение пульпита
Удаление молочных зубов
Седация и лечение детей под наркозом
Коррекция уздечки языка и губы лазером
Детская и подростковая чистка
Лечение подростков
Уроки гигиены
Детская ортодонтия
Спасение детских зубов после травмы
Скидки и акции
О клинике
Назад
О клинике
Почему в наших креслах не пристегиваются?
Новости
Статьи
Фотогалерея
Партнеры
Обучение наших специалистов
Отзывы
Официальная информация
Высокие технологии
Лаборатория с полным циклом
Доверенность на ребенка
Безопасность
3D-тур
Карьера
Контакты
М
Площадь Ленина. Адрес: Военная 9/2
М
Площадь Маркса Адрес: Новогодняя 12/1
Меню
Заявка
Звонок
Контакты
Главная
·
Наши работы
·
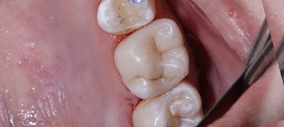
Лечение кариеса (врач Начаров А.В)
Лечение кариеса (врач Начаров А.В)
До работы
Результат
Работы провели
Начаров Артём Викторович
Врач стоматолог-ортопед
Записаться на прием
Другие работы
Лечение кариеса (врач Начаров А.В)
Подробнее
Лечение кариеса (врач Начаров А.В)
Подробнее
Цельнокерамические коронки (врач Нагрелли М.В.)
Подробнее
Карта сайта
О клинике
Почему в наших креслах не пристегиваются?
Новости
Статьи
Отзывы
Партнеры
Обучение наших специалистов
Официальная информация
Высокие технологии
Лаборатория с полным циклом
Вакансии
Безопасность
3D-тур
Врачи
Цены
Фотогалерея
Контакты
Услуги
Лечение
Лечение под микроскопом
Лечение во сне – полная санация за 1 день
Эстетическая реставрация
Реставрация передних зубов
Спасение "безнадежных" зубов
Лечение пульпита
Лечение кариеса
Наращивание зубов
Хирургическая стоматология
Удаление
Удаление под наркозом
Удаление зубов мудрости
Резекции
Удаление корня
Диагностика
3D-томография зубов
Визиография
Отбеливание
Химическое и домашнее отбеливание
Отбеливание системой ZOOM 4
Протезирование зубов
Съемные протезы бюгельные, на замках
Металлокерамические коронки и мостовидные протезы
Цельнокерамические коронки E.max
Протезирование коронками из диоксида циркония
Виниры и ультратонкие виниры
Керамические вкладки
Протезирование передних зубов
Коронки
Мостовидные протезы
Имплантация
Имплантация All-on-4
Имплантация зубов под ключ
Имплантация во сне
Одномоментная имплантация
Костная пластика
Системы имплантации
Гигиена и профилактика
Фторирование
Профессиональная чистка зубов
Лечение пародонтоза
и других заболеваний десен
Диагностика пародонтологических заболеваний
Хирургическая пародонтология
Консервативная пародонтология
Пластическая пародонтология
Ортодонтия
Стоматологи ортодонты
Ортодонтия: актуально в любом возрасте
Ортодонтическая подготовка к протезированию и имплантации
Ретейнеры
Исправление прикуса
Ортодонтические имплантаты
Гнатологическая ортодонтия
Установка брекет-систем
Детская стоматология
Обезболивание
Рентген детских зубов
Лечение кариеса
Лечение пульпита
Удаление молочных зубов
Седация и лечение детей под наркозом
Коррекция уздечки языка и губы лазером
Детская и подростковая профессиональная гигиена
Управление поведением ребенка
Лечение подростков
Уроки гигиены
Детская ортодонтия
Спасение детских зубов после травмы
Цены
Лечение по страховке
Стоматология в рассрочку
Лечение иногородних пациентов
Личный координатор
Используем куки и рекомендательные технологии
Наш сайт использует файлы cookies. Продолжая просмотр сайта, вы соглашаетесь с использованием файлов cookies в соответствии с
политикой cookies
.
Продолжить работу
Online запись