Размер шрифта: A A A
Цветовая схема: A A A
Сбросить все параметры
М Площадь Ленина, ул. Военная, 9/2
М Площадь Маркса, ул. Новогодняя, 12/1
М Заельцовская, ул. Дачная, 42
М Октябрьская, ул. Ленинградская, 106
Версия для слабовидящих
В наших креслах можно
не пристегиваться!
Запись на приём
с 8:00-14:00/15:00-21:00
без выходных
М Площадь Ленина. Адрес: Военная 9/2
М Площадь Маркса Адрес: Новогодняя 12/1

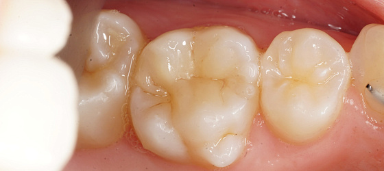
Лечение кариеса (врач Яцко В.Я)

Оказанные услуги

Работы провели

Яцко Владислав Яковлевич
Врач стоматолог-терапевт, специалист по работе с микроскопом
Записаться на прием

Другие работы



Лечение кариеса (Грынык К. Б.)

Подробнее

Лечение кариеса (Грынык К. Б.)

Подробнее

Лечение кариеса и пульпита (врач Горенских А.В)

Подробнее

Лечение кариеса (Цыдендамбаев Э.)

Подробнее
Карта сайта
Используем куки и рекомендательные технологии
Наш сайт использует файлы cookies. Продолжая просмотр сайта, вы соглашаетесь с использованием файлов cookies в соответствии с политикой cookies.
Online запись