Размер шрифта: A A A
Цветовая схема: A A A
Сбросить все параметры
М Площадь Ленина, ул. Военная, 9/2
М Площадь Маркса, ул. Новогодняя, 12/1
М Заельцовская, ул. Дачная, 42
М Октябрьская, ул. Ленинградская, 106
Версия для слабовидящих
В наших креслах можно
не пристегиваться!
Запись на приём
с 8:00-14:00/15:00-21:00
без выходных
М Площадь Ленина. Адрес: Военная 9/2
М Площадь Маркса Адрес: Новогодняя 12/1

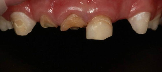
Лечение кариеса зубов с помощью циркониевых, штампованных коронок и реставраций (врач Горенских А.В)

Работы провели

Горенских Алёна Викторовна
Ведущий детский стоматолог, специалист по работе в наркозе
7лет опыта
Записаться на прием

Другие работы



Реставрация зубов (врач Сивохина А.О.)

Подробнее

Эстетическая реставрация зубов (врач Машошина М.Р.)

Подробнее

Лечение кариеса (врач Кондратьева Е.С.)

Подробнее
Карта сайта
Используем куки и рекомендательные технологии
Наш сайт использует файлы cookies. Продолжая просмотр сайта, вы соглашаетесь с использованием файлов cookies в соответствии с политикой cookies.
Online запись